Articles de blog
Congrès aromathérapie douleur dentaire : obtenir des protocoles sûrs (posologies, CI) et applicables au cabinet
Vous avez déjà entendu cette phrase au fauteuil : “Je ne veux pas d’anti-inflammatoires… vous n’avez rien de plus naturel ?” Et vous avez probablement déjà ressenti l’inconfort inverse : […]
Douleurs oro-faciales et névralgies : améliorer votre diagnostic différentiel au fauteuil et éviter l’errance thérapeutique
Vous avez déjà vécu cette situation. Un patient consulte pour une douleur fulgurante, irradiant vers l’oreille ou l’œil, sans lésion évidente à l’examen clinique. Une autre fois, c’est une douleur […]
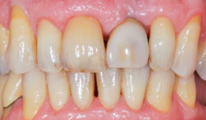
Congrès parodontite et gestion de la douleur : comment sécuriser scientifiquement votre pratique et gagner en efficacité clinique
Vous traitez des parodontites toutes les semaines. Vous gérez des douleurs aiguës post-thérapeutiques, des patients chroniques peu observants, des situations inflammatoires complexes chez des patients polymédiqués. Et vous voyez aussi […]
Gestion symbolique et énergétique de la douleur liée à la perte des prémolaires en orthodontie
L’extraction de prémolaires en orthodontie est un acte courant, codifié, techniquement maîtrisé. Pourtant, certains patients développent des douleurs persistantes, des tensions diffuses ou un inconfort durable qui ne trouvent pas […]
Terrain neuro-psycho-émotionnel et douleur : comprendre pour mieux soigner
En cabinet dentaire, certaines douleurs ne s’expliquent pas uniquement par une lésion, une inflammation ou un dysfonctionnement mécanique identifiable. Elles persistent, fluctuent, migrent parfois, résistent aux traitements pourtant bien conduits. […]
Incidences buccales et pathologies générales : que sait-on réellement ?
La bouche n’est plus considérée comme un territoire isolé du reste de l’organisme. Cette idée, longtemps marginale, s’est progressivement imposée dans la littérature scientifique, au point que les liens entre […]
Aromathérapie et phytothérapie : cadre clinique en odontologie
En odontologie, l’aromathérapie et la phytothérapie ne se posent jamais comme des alternatives au soin, mais comme des outils périphériques mobilisés dans des contextes précis : douleurs persistantes, inflammations récurrentes, […]
Homéopathie en odontologie : que dit la pratique clinique ?
En cabinet dentaire, l’homéopathie n’est presque jamais abordée comme une solution de première intention. Elle apparaît plutôt dans des situations où la douleur persiste, se répète ou se chronicise alors […]
Douleur oro-faciale : mieux trier, mieux traiter
Si tu veux éviter l’endo “de trop”, la couronne “qui ne change rien” ou la prescription “au cas où”, la douleur oro-faciale est un sujet de triage clinique avant d’être […]
Inscrivez-vous à notre Newsletter
Restez informé des dernières actualités du Congrès Odenth et de l’association. Ne manquez rien de notre engagement pour une dentisterie holistique et responsable.
